El congreso internacional sobre avances neurobiológicos y terapias avanzadas en enfermedades desmielinizantes congénitas y adquiridas organizado por la Fundación The Walk On Project (WOP), ha permitido reunir en la Universidad de Deusto en Bilbao, a líderes internacionales en la investigación básica y clínica sobre las enfermedades diesmielinizantes congénitas (leucodistrófias) y adquiridas (esclerosis múltiple), los días 6 y el 8 junio de 2024.
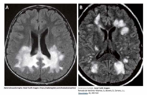
Las leucodistrofias, son un conjunto enfermedades asociadas a mutaciones de proteínas fundamentales para el metabolismo celular de los lípidos. La alteración genética afecta a todas las células del organismo, pero las células productoras de mielina, los oligodendrocitos en el sistema nervioso central, son las que degeneran, asociándose generalmente a un proceso neuroinflamatorio de curso progresivo sin posibilidad de tratamiento (Fig 1.A). Hay formas diversas de presentación dependientes del problema genético asociado, pero en general son progresivas y las formas más severas conllevan la muerte de los pacientes en la infancia [1].
En las enfermedades desmielinizantes adquiridas como la esclerosis múltiple (EM), el sistema inmune reacciona de forma anómala ante estímulos externos (tóxicos, infecciones virales, etc.) produciendo auto-anticuerpos contra la mielina y favoreciendo que las células inflamatorias infiltren el parénquima cerebral para generar un microambiente tóxico. La mielina es la diana selectiva de este proceso y, como consecuencia de la perdida de la vaina de mielina de los axones se produce una alteración severa de la transmisión del impulso nervioso y una degeneración (Fig. 1B) [2].
No se conocen los mecanismos de señalización que regulan el comportamiento de las células precursoras de oligodendrocitos cuando hay una pérdida de mielina. Por lo tanto, el desafío clínico para restaurar la mielina pasa primero por detener la toxicidad local a nivel humoral y celular y, segundo, por activar los mecanismos intrínsecos de reparación de la mielina. Sin embargo, esta reparación representa la mayoría de las veces una re-mielinización ineficiente con recuperación funcional parcial. Este fracaso se debe a la acción de señales que se oponen a la activación de células progenitoras de oligodendrocitos. Necesitamos comprender el complejo juego de interacciones entre las vías de señalización que controlan la proliferación, migración y diferenciación de los progenitores de oligodendrocitos para entender la fisiopatología de estas enfermedades.

Resumen de las ponencias y discusiones en las mesas redondas
Se han revisado las bases neurobiológicas de las enfermedades desmielinizantes para entender la enfermedad y potenciar la eficiencia de sus tratamientos. Con la descripción de la intrincada red de señalización para generar y reparar la mielina, esta reunión abordó la modulación de la respuesta global a la enfermedad con el fin de allanar el camino hacia nuevos enfoques terapéuticos.
Se han planteado tres niveles temáticos como plataformas de análisis y discusión:
Retos en la frontera tecnológica, donde se han revisado los avances tecnológicos, genéticos y moleculares que han transformado el diagnóstico, tratamiento y seguimiento de las enfermedades desmielinizantes.
Los biomarcadores moleculares son la frontera para poder hacer diagnostico precoz, e incluso de vulnerabilidad para padecer estas enfermedades y, por lo tanto, poder desarrollar estrategias preventivas. Los trabajos de Mercedes Lachén sobre marcadores de toxicidad celular en trasplante alogénico demuestran un valor como indicadores objetivos y fidedignos del transcurso de la enfermedad y la respuesta al tratamiento [3].
En la actualidad los métodos de neuroimagen como la resonancia magnética (RMN) son los instrumentos más usados en el diagnóstico y seguimiento de las enfermedades desmielinizantes. Silvia de Santis ha mostrado como el uso de herramientas de RMN para determinar el diámetro axonal, como biomarcador para realizar el diagnóstico precoz de lesión axonal en pacientes con EM [4].
En relación con el uso de tecnológicas informáticas, Julián Isla, responsable de software de Recursos de la Consultoría de Datos e Inteligencia Artificial de Microsoft España, revisó el uso de la inteligencia artificial de manejo clínico de pacientes y su impacto en la práctica médica. Dejando claro la necesidad de objetivos y métricas claras para evaluar de forma objetiva y eficiente el resultado de las acciones médicas (https://www.cgcom.es/noticias/julian-isla-se-necesitan-metricas-y-objetivos-claros-que-permitan-evaluar-los-resultados).
Las terapias de remplazamiento enzimático son el fundamento del trasplante alogénico de médula en las enfermedades desmielinizantes congénitas [5]. En este contexto pudimos escuchar la primera conferencia plenaria, impartida por Gabriel Lepousez, bajo el título: Nuevas perspectivas en las comunicaciones cuerpo-cerebro: co?mo llegan al cerebro los macrófagos periféricos y las señales derivadas del microbiota intestinal. Donde se revisaron los procesos que explican la regulación de la función neuronal por el microbiota intestinal [6], así como el remplazo de microglía cerebral por macrófagos medulares tras el condicionamiento por busulfán y el trasplante alogénico de médula ósea [7].

Retos en la frontera científica, donde Emilio Geijo nos explicó que el papel fisiológico de la mielina no solo se circunscribe en la trasmisión nerviosa y el trofismo axonal, sino también en establecer el patrón temporal de las sinapsis de los circuitos corticales y, por lo tanto, mantener el equilibrio excitador inhibidor de estos circuitos.
Paco Carratalá nos expuso las formas de presentación de enfermedades desmielinizantes de la infancia e identifico la importancia de conocer los signos tempranos de alerta. El diagnóstico precoz es necesario para poder aplicar las terapias en las fases iniciales de la enfermedad, que es fundamental para lograr un estado funcional aceptable.
Federico Pallardó nos habló del estrés oxidativo y en papel de la dinámica del calcio en el metabolismo mitocondrial en enfermedades desmielinizantes y degenerativas, poniendo énfasis en la importancia de reconocer marcadores de equilibrio energético para mejorar diagnósticos y tratamientos [8].
Nuestro grupo presentó los datos de estudios preclínicos de terapia celular remielinizante en modelos animales, donde demostramos que tras el trasplante intracerebral e intraventricular de células mesenquimales de médula ósea se activa la proliferación y migración de progenitores oligodendrogliales en un modelo de desmielinización crónica [9,10].
En relación con la investigación en esclerosis múltiple, Fernando de Castro habló del desarrollo de modelos experimentales y de estrategias terapéuticas en EM, así como la identificación de señales para mantener el pool de progenitores oligodendrogliales y su capacidad de respuesta reparadora [11].
Los fundamentos y objetivos de TERAV fueron descritos por José María Moraleda, que mediante ejemplos fue mostrando los programas y éxitos científicos en terapia génica y celular de los equipos españoles que conforman esta red. La discusión entre los participantes extranjeros y los representantes nacionales fue muy constructiva y se crearon vínculos de colaboración.
En la conferencia plenaria del segundo día, Paul Orchard han expuesto su amplia experiencia en el tratamiento de adrenoleucodistrofias con terapias génicas y celulares. Mostrando los resultados de ensayos clínicos e incidiendo en la necesidad de diagnóstico precoz y terapias más eficaces [12].
Retos en la frontera clínica. Nathalie Cartier, complementándose con la exposición del Dr. Ochard, incidió más en su amplia experiencia en el tratamiento de adrenoleucodistrofias con terapias génicas asociadas al trasplante autólogo de células madre hematopoyéticas modificadas genéticamente [13].
Marc Engelen ha puesto en evidencia la complejidad del diseño de ensayos clínicos en enfermedades desmielinizantes congénitas, en especial adrenoleucodistrofia, sobre todo por su curso heterogéneo, así como la valoración clínica de la mielodistrofia en las mujeres portadoras de la mutación [14]. Hemos establecido una buena relación y como consecuencia España se unirá a la iniciativa europea de adrenolecucodistrofia.
La frontera clínica estuvo completada con la participación de Verónica Cantarín e Ines Solis, que presentaron los resultados del tratamiento de niños con adrenoleucodistrofia mediante terapia intratecal usando células mesenquimales alogénicas, cuando el trasplante de médula ya no es una alternativa, el Hospital del Niño Jesús de Madrid. La variabilidad en el curso clínico de la adrenoleucodistrofia complica la interpretación de los signos de mejoría de neuro-imagen y clínica de los pacientes. Se proponen solicitar un ensayo clínico en este sentido.
Sara Garcia Gil nos presenta la experiencia del Hospital la Fe de Valencia en el trasplante autólogo de médula ósea en esclerosis múltiple secundaria progresiva y remitente-recurrente, mostrando resultados demostrativos de eficacia clínica y rentabilidad.
Ane Fullaondo nos habló de la Medicina basad en el Valor: valoración de los procesos médicos, y Pedro Carrascal sobre las perspectivas de los pacientes con EM y crónicos ante el acceso a las nuevas terapias y los ensayos clínicos.
Conclusiones
El congreso ha cumplido sus objetivos:
Referencias
| Nombre | Salvador Martinez |
|---|---|
| Empresa | Instituto de Neurociencias UMH-CSIC. Alicante |
| Cargo |
Política de privacidad | Cookies | Aviso legal | Información adicional| miembros de CEDRO